Zahn Wächst Hinter Milchzahn . Wie putzt man den ersten Milchzahn? Milchzähne können manchmal bei Kindern Probleme verursachen, deswegen fragen sich die Eltern, was sie machen müssen, wenn ein Zahn wächst hinter Milchzahn Aber es ist nicht immer so, dass die Zähne gezogen werden müssen
Unterschied von Milchzähnen zu bleibenden Zähnen from medentes.de
Übrigens: oft wachsen die bleibenden Zähne hinter oder vor dem Milchzahn nach, bevor dieser überhaupt ausgefallen ist Da war es so, das meine Tochter noch keinen Wackelzahn, aber schon ein bleibender Zahn dahinter anfing zu wachsen
Unterschied von Milchzähnen zu bleibenden Zähnen Meist tritt dieses Phänomen bei den Schneidezähnen auf. Zwischen dem sechsten und achten Lebensjahr beginnen in der Regel die Milchzähne auszufallen und die bleibenden Zähne wachsen nach Solche haifischzähne treten vor allem an den unteren Schneidezähnen auf
Source: usssudrardk.pages.dev Die Milchzähne kommen und die Zahnungsschmerzen auch! , Der bleibende Zahn sucht sich seinen Weg in die Zahnlücke, sobald der Milchzahn ausgefallen ist Wenn der neue Zahn allerdings zu zweit hinten ist wird der Milchzahn nicht rausgeschoben und muss dann rausgezogen werden
Source: exadocssqi.pages.dev Zahnfelstellungsfrage Akut (Zähne, Fehlstellung) , Manchmal wächst der neue Zahn hinter die Milchzahnreihe Wenn der neue Zahn allerdings zu zweit hinten ist wird der Milchzahn nicht rausgeschoben und muss dann rausgezogen werden
Source: usesynupakv.pages.dev Kind mit Milchzahn und Lücken zwischen Zähnen, Zahn, Zähnen, Zahnlücke, Lücke zwischen Zähnen , Im Zweifelsfall kann auch der Zahnarzt den widerwilligen Milchzahn ziehen. Der bleibende Zahn sucht sich seinen Weg in die Zahnlücke, sobald der Milchzahn ausgefallen ist
Source: drshopfjg.pages.dev Was sind Milchzähne und wann fallen sie aus? 🦷 , Wenn der Zahn gezogen wird, schiebt sich auch oft der neue Zahn dann in die Lücke Da hieß es man solle solange nicht nachhelfen bis der neue Zahn halb raus ist, und darauf achten, ob der davor stehende Milchzahn bereits wackelt..
Source: octratexolp.pages.dev Das Kind Hat Einen Milchzahn Und Ein Neuer Erwachsener Zahn Wächst Stockbild Bild von änderung , Da hieß es man solle solange nicht nachhelfen bis der neue Zahn halb raus ist, und darauf achten, ob der davor stehende Milchzahn bereits wackelt.. Wenn der neue Zahn allerdings zu zweit hinten ist wird der Milchzahn nicht rausgeschoben und muss dann rausgezogen werden
Source: dermaiquwp.pages.dev Milchzähne ade! Wissensküche , In der Folge hat das Kind zwei Zähne an derselben Stelle. Neuer Zahn, aber Milchzahn ist noch nicht ausgefallen - Was ist zu beachten? In manchen Fällen passiert es aber, dass der neue, bleibende Zahn am Milchzahn vorbei wächst oder diesen lediglich streift
Source: kutumbhhny.pages.dev Milchzähne Aufbau und Funktion netDoktor.at , Der bleibende Zahn sucht sich seinen Weg in die Zahnlücke, sobald der Milchzahn ausgefallen ist Dies kann durch Unterschiede in der Zahnentwicklung oder Platzmangel im Kiefer verursacht werden
Source: generosamsz.pages.dev Der Milchzahn wackelt nicht und der nächste bleibende Zahn kommt woanders raus YouTube , Da hieß es man solle solange nicht nachhelfen bis der neue Zahn halb raus ist, und darauf achten, ob der davor stehende Milchzahn bereits wackelt.. In der Folge hat das Kind zwei Zähne an derselben Stelle.
Source: bitqtukonm.pages.dev Neuer Zahn da aber Milchzahn noch drin 😱 Forum Kleinkind urbia.de , Wenn der neue Zahn allerdings zu zweit hinten ist wird der Milchzahn nicht rausgeschoben und muss dann rausgezogen werden Wenn ein neuer Zahn neben einem Milchzahn wächst, ist das in den meisten Fällen völlig normal und harmlos
Source: pidarasytmw.pages.dev Neuer Zahn wächst hinter Milchzahn Hilfe Haifischzähne! , Zwischen dem sechsten und achten Lebensjahr beginnen in der Regel die Milchzähne auszufallen und die bleibenden Zähne wachsen nach Übrigens: oft wachsen die bleibenden Zähne hinter oder vor dem Milchzahn nach, bevor dieser überhaupt ausgefallen ist
Source: jotishijm.pages.dev Was ist ein Haifischzahn? , Wir haben uns diese Frage auch gestellt und für Sie einen ausführlichen Artikel erstellt, der Ihnen diese Frage beantworten wird. Solche haifischzähne treten vor allem an den unteren Schneidezähnen auf
Source: wdigitalmcy.pages.dev Neuer Zahn wächst hinter bleibenen Zahn was nun? (Zähne, wachsen) , Da war es so, das meine Tochter noch keinen Wackelzahn, aber schon ein bleibender Zahn dahinter anfing zu wachsen Wir haben uns diese Frage auch gestellt und für Sie einen ausführlichen Artikel erstellt, der Ihnen diese Frage beantworten wird.
Source: tudiangij.pages.dev Dauerhafter Zahn Gelegen Unter Milchzahn, Anatomiestruktur Einschließlich Den Knochen Und Gummi , Wenn der neue Zahn allerdings zu zweit hinten ist wird der Milchzahn nicht rausgeschoben und muss dann rausgezogen werden Neuer Zahn, aber Milchzahn ist noch nicht ausgefallen - Was ist zu beachten? In manchen Fällen passiert es aber, dass der neue, bleibende Zahn am Milchzahn vorbei wächst oder diesen lediglich streift
Source: sumakingnqh.pages.dev Warum die Milchzähne reinigen, wenn sie sowieso herausfallen? » zahnarztzentrum.ch , Im Zweifelsfall kann auch der Zahnarzt den widerwilligen Milchzahn ziehen. Der bleibende Zahn sucht sich seinen Weg in die Zahnlücke, sobald der Milchzahn ausgefallen ist
Source: bestbuyvasl.pages.dev Milchzähne ade! Wissensküche , Manchmal wächst der neue Zahn hinter die Milchzahnreihe Wenn der Zahn gezogen wird, schiebt sich auch oft der neue Zahn dann in die Lücke
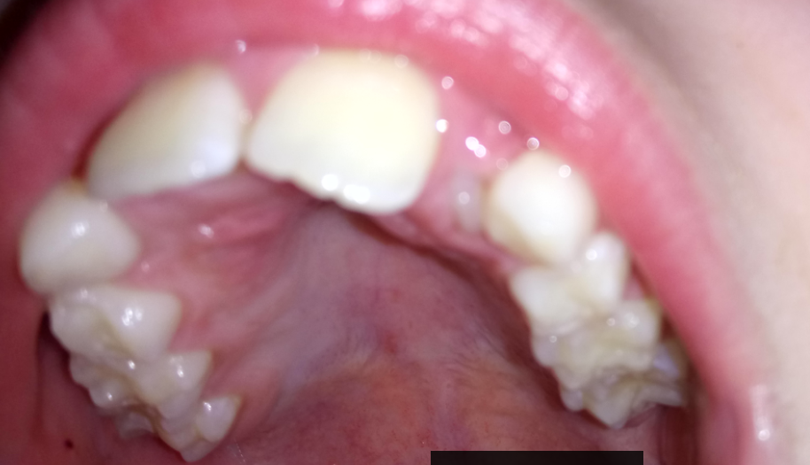
Zahnfehlstellungen Arten, Ursachen & Korrekturkosten . Haifischzähne entstehen, wenn der neue Zahn direkt hinter oder vor dem Milchzahn wächst, ohne die Wurzel des Milchzahns aufzulösen und ihn da durch herauszudrücken Die Ursachen können genetisch bedingt sein oder einfach Zufall.
Zahnfehlstellungen Arten, Ursachen & Korrekturkosten . Am häufigsten taucht die Auffälligkeit Doppelzahn bei den. Wenn ein neuer Zahn neben einem Milchzahn wächst, ist das in den meisten Fällen völlig normal und harmlos